Home > Varios > Servicios de Salud > Salud > protesis total de cadera

Cargandou

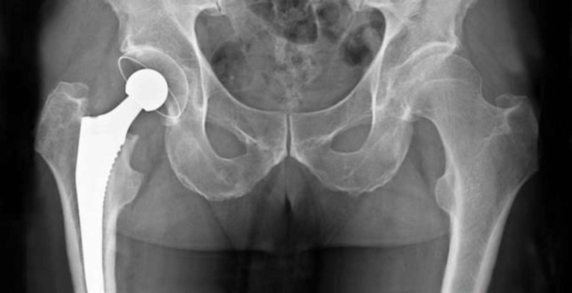
Protesis Total de Cadera

Use the button contact me to request a quote

El desgaste de la articulacion de la cadera (coxofemoral) puede generar dolor y causar que las personas no tengan una vida plena. La mejor opsicion para este padecimiento es el recambio de la articulacion.

Find more offers en Salud

More business offers